Yumuşak Doku Tümörü Tedavisi
Yazar: Prof. Dr Fahri Erdoğan
Kategoriler:
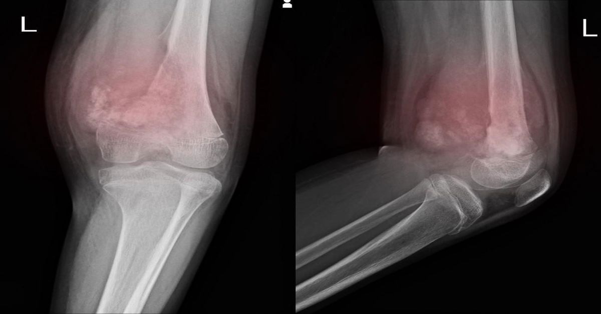
vücudun kas, yağ, sinir kılıfları ve bağ dokusu gibi destek yapılarından gelişen kitlelerdir. Bu nedenle her hastada farklı bir tablo görülebilir ve tedavi yaklaşımı kişiye göre değişir. Tanıda fizik muayene önemlidir. Gerekli durumlarda MRI ya da ultrason gibi görüntüleme yöntemleri kullanılır. Tedavi süreci dikkatli bir değerlendirme gerektirir. Çünkü tümörün tipi, yerleşimi ve büyüme hızı farklıdır. Bu aşamada yumuşak doku tümörü tedavisi için biyopsi yapılabilir. Biyopsi, tümörün yapısını netleştirir.
Yazı İçeriği
Yumuşak Doku Tümörü Tedavisi Kimler İçin Uygundur?
Yumuşak doku tümörleri, vücudun kas, yağ, bağ dokusu ve sinir kılıfları gibi bölgelerinde ortaya çıkabilen kitlelerdir. Bu tümörlerin bir bölümü iyi huyludur. Bazıları ise zaman içinde büyüyebilir ya da çevre dokulara baskı yapabilir. Bu nedenle erken değerlendirme, uygun tedavi için kritik bir adımdır. Her hastanın durumu farklı olduğu için tedaviye uygunluk kişiden kişiye değişir.
Yumuşak doku tümörü tedavisi, genellikle hızlı büyüyen, ağrıya yol açan kitleye sahip kişiler için uygundur. Ayrıca görüntüleme yöntemlerinde şüpheli özellikler taşıyan tümörlerde tedavi planı geciktirilmez. Tümörün kan damarlarına, sinirlere veya organlara yakın olması da tedavi gerekliliğini artırır. Bu gruptaki hastalarda erken müdahale, uzun dönem sonuçları olumlu etkiler.
Bazı hastalarda tümör küçük ve stabil olabilir. Bu durumda düzenli takip yeterli olabilir. Ancak takip süreci bile belirli kriterlere dayanır. Hastanın yaşı, tümörün yerleşimi, büyüme hızının geçmişte nasıl seyrettiği ve risk faktörleri değerlendirilir. Özellikle daha önce travma geçirmiş bölgelerde ya da genetik yatkınlığı bulunan kişilerde süreç daha dikkatli yönetilir.
Tedavi kararı alınırken, yumuşak doku tümörü tedavisi için tümörün biyolojik davranışı büyük önem taşır. Biyopsi ile elde edilen bilgiler, cerrahi ve tedavi yöntemlerinin uygunluğunu belirler. Cerrahi çoğunlukla ilk seçenektir ancak bazı hastalarda ek tedaviler de gerekebilir. Bu süreçte hastanın genel sağlık durumu, eşlik eden hastalıkları ve yaşam kalitesi göz önünde bulundurulur.
Yumuşak Doku Tümörü Tedavisi Hangi Durumlarda Kullanılır?
Yumuşak doku tümörleri, kas, bağ dokusu, yağ dokusu ve sinir kılıfları gibi vücudun temel yapı taşlarında gelişen kitlelerdir. Bazıları belirti vermeden yıllarca kalabilir. Bazıları ise kısa sürede büyüyerek ağrıya, baskıya veya hareket kısıtlılığına yol açabilir. Bu farklı tablo, her hastada ayrı bir değerlendirme yapılmasını zorunlu kılar. Tedavinin hangi durumlarda gerekli olduğu, tümörün davranışına ve hastanın şikâyetlerine göre şekillenir.
Tümörün hızlı büyümesi, çevre dokulara baskı uygulaması müdahaleyi gerektiren başlıca durumlardır. Görüntüleme sonuçlarının şüpheli bulunması da aynı şekilde tedavi kararını hızlandırır. Aynı zamanda ağrı, uyuşma, güçsüzlük gibi fonksiyon kaybına yol açan belirtiler de tedavi kararını hızlandırır. Bu aşamalarda uzman değerlendirmesi büyük önem taşır.
Bu noktada yumuşak doku tümörü tedavisi, tanıyı netleştirmek için uygulanır. Aynı zamanda dokuya zarar veren tümörleri ortadan kaldırmak için de tercih edilir. Biyopsi ile tümörün yapısı belirlenir. Ardından cerrahi ya da diğer tedavi seçenekleri değerlendirilir. Cerrahi, tümörün temiz sınırlarla çıkarılmasını amaçlar. Bu yaklaşım tümörün tekrar etme riskini azaltır. Bazı hastalarda ek tedavilere ihtiyaç duyulabilir.
Tümörün organlara, damarlara veya sinirlere yakın olması, tedavi kararını daha da önemli hale getirir. Çünkü bu bölgelerdeki baskı uzun vadede kalıcı hasarlara yol açabilir. Ayrıca iyi huylu görünen bazı tümörler zaman içinde büyüyerek riskli hale gelebilir. Bu nedenle düzenli takip ve doğru zamanda müdahale, tedavinin etkisini artırır.
Sonuç olarak, yumuşak doku tümörlerinin her biri aynı şekilde davranmaz. Bu nedenle tedavi, yalnızca belirli şartlar oluştuğunda gündeme gelir. Doğru değerlendirme, zamanında karar ve kişiye özel bir yaklaşım sayesinde hem güvenli hem de başarılı sonuçlar elde edilir.
Yumuşak Doku Tümörü Tedavisi Yöntemleri Nelerdir?
Tedavi süreci, tümörün yapısına ve konumuna göre değişir. Bu nedenle yumuşak doku tümörü tedavisi her hasta için ayrı bir planlama gerektirir. İlk adım, tümörü doğru tanımlamaktır. Muayene, MRI veya ultrason gibi görüntüleme yöntemleri ve biyopsi bu aşamada temel rol oynar. Bu incelemelerin amacı hem tümörün sınırlarını görmek hem de yapısını netleştirmektir. Böylece hangi yöntemin en etkili olacağı daha doğru belirlenir.
Cerrahi, en sık kullanılan tedavi yöntemidir. Amaç, tümörü sağlam dokulara zarar vermeden temiz bir sınırla çıkarmaktır. Tümör yüzeydeyse işlem daha kolay olur. Ancak derin dokularda yer alan ya da sinir ve damarların yakınında bulunan tümörler daha özenli bir yaklaşım gerektirir. Bu noktada cerrah, hem işlev kaybını önlemeye hem de tümörü tamamen temizlemeye odaklanır. Güvenli cerrahi marj bırakmak, tedavinin başarısını doğrudan etkiler.
Bazı hastalarda cerrahi tek başına yeterli olmaz. Bu durumlarda radyoterapi devreye girer. Radyoterapi, tümörün tekrarlama riskini azaltmak için uygulanır. Cerrahi sonrası geride kalmış olabilecek mikroskobik hücreleri hedef alır. Daha agresif tümörlerde kemoterapi tercih edilir. Her tümör tipi kemoterapiye aynı yanıtı vermez, bu yüzden tedavi hastanın genel durumuna göre düzenlenir.
Son yıllarda hedefe yönelik tedaviler ve immünoterapi seçenekleri de önem kazanmıştır. Bu yöntemler, tümör hücrelerinin belirli özelliklerini hedef alır. Bazıları ise bağışıklık sistemini güçlendirerek etki gösterir.
Tedavi sürecinin tüm aşamaları, farklı branşlardan uzmanların iş birliğiyle yürütülür. Amaç, en güvenli ve en etkili sonucu elde etmektir.
Yumuşak Doku Tümörü Tedavisi Sonrası Süreç Nasıldır?
Tedavi sonrası dönem, hastanın iyileşme hızını ve günlük yaşama dönüşünü belirleyen en önemli aşamadır. Bu süreç kişiye göre değişir. Tümörün tipi, uygulanan yöntem ve hastanın genel sağlık durumu iyileşme süresini etkiler. Cerrahi sonrası ilk günlerde ağrı, şişlik ve hareket kısıtlılığı görülebilir. Bunlar beklenen durumlardır. Hekimin verdiği ilaçlar ve bakım önerileri, bu dönemi daha rahat geçirmenizi sağlar.
İlk haftalarda düzenli kontrol çok önemlidir. Bu kontrollerde yara iyileşmesi takip edilir. Enfeksiyon, ödem ya da kanama gibi sorunlar erken fark edildiğinde kolayca yönetilir. Bazı hastalarda fizik tedavi sürece dahil edilir. Özellikle kas veya eklem çevresindeki tümörlerde bu destek, hareket açıklığını korur ve fonksiyon kaybını önler. Fizik tedavi, hastanın günlük işlerine daha kısa sürede dönmesine yardım eder.
İyileşme döneminde yaşam tarzı alışkanlıkları da belirleyicidir. Yeterli uyku, dengeli beslenme ve sigaranın bırakılması iyileşmeyi hızlandırır. İlk haftalarda ağır yük kaldırmaktan ve ani hareketlerden uzak durmak gerekir. Doktorun belirlediği sınırlamalara uyulması, komplikasyon riskini azaltır. Ayrıca tümörün tekrarlama ihtimali göz önünde bulundurularak takip programı oluşturulur. Bu program düzenli muayene ve görüntüleme testlerinden oluşur.
Son aşamada hastaya uzun vadeli bir plan sunulur. Bu plan hem fiziksel toparlanmayı hem de olası nüks riskini kontrol altında tutmayı amaçlar. Kontrollerin aksatılmaması ve sağlıklı alışkanlıkların devam etmesi önemlidir. Hekimin yönlendirmelerine uyum ise sürecin en kritik parçalarından biridir. Tüm bu adımlar bir araya geldiğinde iyileşme dönemi çok daha güvenli ilerler. Süreç ise genel çerçevede uygulanan yumuşak doku tümörü tedavisi yaklaşımının doğal bir tamamlayıcısı olur.



