Dirsek Çıkığı
Yazar: Prof. Dr Fahri Erdoğan
Kategoriler:
Dirsek ekleminin normal yerinden kaymasıdır. Dirsek çıkığı genellikle travmalar sonucu meydana gelir. Kaza, düşme veya darbe sonucu bağlar gerilir veya yırtılır. Bu durum, şiddetli ağrıya ve hareket kısıtlılığına yol açar. Tedavi edilmezse, eklemde kalıcı hasar oluşabilir. Tedavi genellikle cerrahi müdahale veya alçı ile yapılır. Erken müdahale, iyileşme sürecini hızlandırır.
Yazı İçeriği
Dirsek Çıkığı Belirtileri Ve Nedenleri
Dirsek eklemi, kolun hareket kabiliyeti açısından önemli bir yapıdır. Bu eklemde oluşan travmalar ciddi sorunlara yol açabilir. Düşme, çarpma veya ani zorlanmalar sonucu eklem yerinden çıkabilir. Bu durum günlük hareketleri zorlaştırır. Özellikle spor yaparken veya kazalarda daha sık görülür.
Erken fark edilmesi tedavi süreci açısından önemlidir. Çıkık durumunda en belirgin belirtilerden biri şiddetli ağrıdır. Hareket ettirmede zorluk yaşanır. Eklemde şekil bozukluğu görülebilir. Özellikle dirsek çıkığı yaşayan kişilerde şişlik ve morarma da sık görülür. Kolu kullanmak zorlaşır ve kişi kolunu sabit tutmak ister. Bu belirtiler ortaya çıktığında hızlı şekilde müdahale edilmelidir.
Çıkığın oluşmasında en yaygın neden travmadır. Sert bir zemine düşmek en sık karşılaşılan sebeplerden biridir. Spor yaralanmaları da bu durumu tetikleyebilir. Özellikle temas sporlarında risk daha yüksektir.
Aynı zamanda trafik kazaları gibi yüksek etkili durumlar da dirsek eklemini etkileyebilir. Bu tür durumlar eklem yapısına zarar verebilir.Genel olarak dirsek çıkığı, erken müdahale gerektiren bir durumdur. Tedavi edilmediğinde kalıcı hareket kısıtlılığı oluşabilir. Bu nedenle belirtileri görüldüğünde vakit kaybetmeden uzman bir doktora başvurulmalıdır. Doğru tedavi ile eklem fonksiyonları büyük ölçüde geri kazanılabilir.
Dirsek Çıkığı Kimlerde Görülür?
Dirsek çıkığı, farklı yaş gruplarında görülebilen bir ortopedik sorundur. Ancak bazı kişilerde risk daha yüksektir. Özellikle aktif yaşam süren bireylerde daha sık karşılaşılır. Spor yapan kişiler bu açıdan daha risklidir. Ani hareketler ve düşmeler bu durumu tetikleyebilir. Bu nedenle risk grubunda olan kişilerin dikkatli olması gerekir.
Sporcular, en riskli gruplardan biridir. Futbol, basketbol ve güreş gibi temas içeren sporlar bu riski artırır. Ayrıca kayak ve bisiklet gibi düşme ihtimali yüksek aktiviteler de etkili olabilir. Bu sporlarla ilgilenen kişilerde eklem yaralanmaları daha sık görülür. Bu nedenle koruyucu ekipman kullanımı önemlidir.
Çocuklar da bu tür yaralanmalara açık bir gruptur. Oyun sırasında düşme ve çarpma riski yüksektir. Özellikle park ve oyun alanlarında yaşanan kazalar dirsek bölgesini etkileyebilir. Aynı şekilde yaşlı bireylerde de risk artar. Kemik yapısının zayıflaması düşme sonrası yaralanma ihtimalini artırır. Bu durum dirsek eklemini de etkileyebilir.
Günlük yaşamda dikkatsizlik sonucu oluşan kazalar da önemli bir etkendir. Islak zeminlerde kayma veya dengesiz hareketler dirsek yaralanmalarına neden olabilir. Bu nedenle her yaş grubunda dikkatli olmak gerekir. Basit önlemler almak bu tür riskleri azaltabilir.
Dirsek Çıkığı Tedavi Yöntemleri Nelerdir?
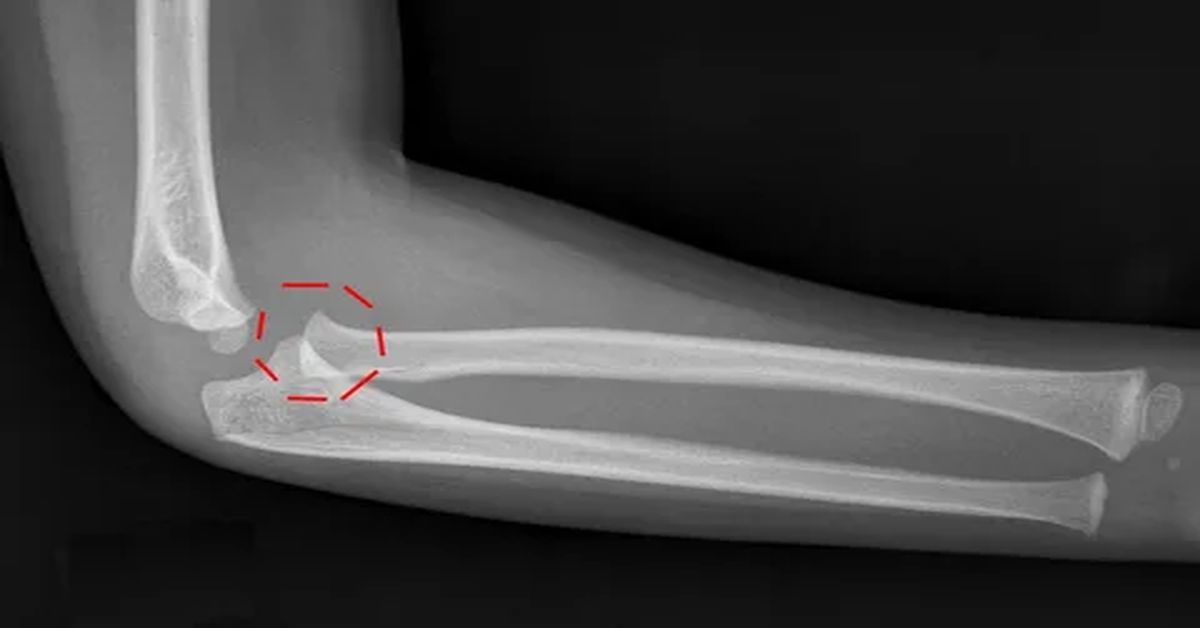
Tedavisinde ilk adım doğru tanı koymaktır. Hastanın şikayetleri ve fizik muayene değerlendirilir. Gerekli durumlarda röntgen gibi görüntüleme yöntemleri kullanılır. Bu sayede eklemin durumu net olarak görülür. Erken tanı, tedavi sürecini kolaylaştırır ve iyileşme süresini kısaltır.
Tedavinin temel amacı, eklemi doğru pozisyonuna getirmektir. Bu işlem genellikle uzman doktor tarafından yapılır. Kapalı redüksiyon adı verilen yöntemle eklem yerine oturtulur. İşlem sonrası kol belirli bir süre sabit tutulur. Bu süreçte atel veya alçı kullanılabilir.
Böylece eklem iyileşme sürecine girer. İyileşme sürecinde dirsek çıkığı yaşayan hastalar için fizik tedavi büyük önem taşır. Hareket kısıtlılığını önlemek için egzersizler uygulanır. Kaslar güçlendirilir ve eklem hareketi artırılır. Düzenli egzersiz ile eski hareket kabiliyeti geri kazanılabilir. Bu süreç sabır ve düzenli takip gerektirir.
Bazı durumlarda cerrahi müdahale gerekebilir. Özellikle bağ ve kemik hasarı varsa ameliyat tercih edilir. Cerrahi sonrası rehabilitasyon süreci önemlidir. Doktor kontrolünde ilerlemek gerekir. Doğru tedavi ve bakım ile dirsek fonksiyonları büyük ölçüde geri kazanılabilir.
Dirsek Çıkığı Tedavisi Sonrası Süreç Nasıldır?
Tedavisi sonrası süreç, sabır ve düzenli takip gerektirir. İlk aşamada kol belirli bir süre sabit tutulur. Bu süreçte atel veya alçı kullanılabilir. Amaç eklemin doğru şekilde iyileşmesini sağlamaktır. Bu dönemde ani hareketlerden kaçınmak önemlidir. Doktorun önerilerine uyum süreci hızlandırır.
Sabit kalma süresi tamamlandıktan sonra hareket süreci başlar. Bu aşamada kontrollü egzersizler uygulanır. Amaç eklem hareketini yeniden kazandırmaktır. Kasların zayıflamaması için düzenli hareket gerekir. Fizik tedavi desteği bu süreçte büyük fayda sağlar. Egzersizler kademeli olarak artırılır.
Günlük yaşama dönüş süreci kişiye göre değişebilir. Hafif vakalarda iyileşme daha hızlı olur. Ancak ciddi durumlarda süreç daha uzun sürebilir. Bu dönemde kolu zorlayacak hareketlerden kaçınılmalıdır. Aynı zamanda düzenli doktor kontrolleri ihmal edilmemelidir. Bu kontroller iyileşmenin doğru ilerlediğini gösterir.
Genel olarak dirsek çıkığı sonrası süreçte sabır ve düzenli bakım önemlidir. Egzersizler aksatılmamalıdır. Doktor önerilerine uyulmalıdır. Bu sayede eklem fonksiyonları büyük ölçüde geri kazanılır. Doğru bir süreç ile çıkık tamamen kontrol altına alınabilir.



